放射技術可分二維(2D)、三維適形(3D-Conformal)及調強適形(Intensity Modulated Radiotherapy - IMRT)等。上世紀80年代,放射治療以二維技術為主,電療劑量以人手計算,最多只容許四個同一平面的放射光束,而且照射野以方形為主,未能對應腫瘤的形狀作出優化,以至放射範圍太寬鬆,未能減低放射線對正常組織的傷害。而醫生作電療規劃時,多數以平面X光片為主,即使有CT或MRI影像,也只能作為參考,未能將三維數據作實際電療設計之用。
直至上世紀90年代,隨著電腦技術的發展,劑量計算可以倚賴電腦進行。另一方面,電子機械技術的進步,三維斷層電腦掃描(CT Scanning)流行,促成新的放射治療機器與技術的進展。
三維適形放射治療能將較大劑量的輻射準確地射向腫瘤,盡量減低對附近正常組織的破壞。治療前,病人需要接受電療設計專用的電腦掃描,其數據會匯入特定的劑量運算電腦,讓臨床腫瘤科專科醫生以三維空間影像審視腫瘤位置,將腫瘤和附近最可能受影響的淋巴組織,及鄰近重要的器官準確定位。隨後,醫生、放射治療師或醫學物理學家利用電腦協助,用不同放射束的入射角度及劑量比例,以設計最佳的電療方案。
至於調強適形放射治療,是在三維適形放射治療基礎上演進而來。在每個放射束(照射野)內分為許多子野,子野的放射強度是不一樣的(故稱為調強)。過程中劑量的計算,採用逆向設計治療計劃,全部由電腦負責,使腫瘤劑量適形性更好,特別對於不規則形腫瘤或腫瘤附近有重要組織器官需要保護的病例,調強適形放射治療比三維適形放射治療有更好的優勢。
以上是鼻咽癌治療的劑量分佈圖,二維和三維適形治療的高劑量區未能很好地覆蓋目標腫瘤區域(紅框區域),而二維治療中,腮腺受到很高的劑量,而調強適形治療既能將高劑量準確地投放在目標腫瘤區域,也能減少腮腺的劑量。
調強適形放射治療主要適合於前列腺癌、鼻咽癌、頭頸癌、甲狀腺癌、腦癌、乳腺癌、肺癌、胰腺癌等。應用調強適形放射治療能夠進一步提高腫瘤內劑量,降低附近正常組織的劑量,提高療效,減少副作用和後遺症,提升病人治療後的生活質素。如調強適形放射治療前列腺癌,可使病灶劑量由68Gy提高到81Gy,3年控制率由48%提高到94%,直腸副作用由57%降為2%;調強適形治療鼻咽癌可保護腮腺減低口乾程度,對於接近眼睛或視神經的鼻咽腫瘤,則能避免放射線對視力的影響。
* G y : 是量度放射治療劑量的單位

是利用兩個附屬於直線加速器上的機器手臂,於放射治療前即時掃描,取得電腦掃描影像進而了解確切的腫瘤位置,再經由電腦軟件的融合影像比對,矯正位置誤差,之後再施行治療。

以螺旋刀乃嶄新的放射技術,以360度螺旋式方法,配合治療床同步移動,使放射線在人體內猶如螺旋般前進,就像會轉彎的子彈,可避開正常組織並攻擊癌細胞。它結合了斷層迴旋式強度調控放射治療技術(IMRT)、3D電腦反算式優化治療處理計劃系統、影像導引(Image Guided Radiotherapy-IGRT)、精確的病患位置定位系統、品質確認(QA System)系統及治療系統,使螺旋刀可以準確地區分病者需要接受放射治療的範圍、計算最佳的射束分佈和劑量、同時追蹤癌腫形狀和位置的轉變,將射束集中在癌腫的位置,並盡量減低對周圍組織的損害和副作用。
傳統直線加速器治療進行時,治療床必須固定,其治療範圍最多長40cm,對於大範圍的照射,如醫治神經管胚細胞瘤(Medulloblastoma),又或於全身有多處的腫瘤病灶,必須分段,分部位個別治療,費時費力又較不精準;而螺旋刀治療床邊治療邊移動的特性,令治療範圍多至 160cm,能一體化完成多處腫瘤病灶或大範圍的治療,一氣呵成,而且準確度非常高。
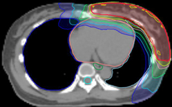
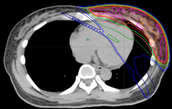
此外,由於螺旋刀無須使用等中心(ISO-Centric)的概念,又應用360度全方位調強的特性,因此劑量均勻分佈,比傳統IMRT更加優勝,對重要器官影響也更少。以下圖的乳房治療為例,螺旋刀能造出更好的弧形劑量分佈,以適合胸部 / 乳房的形狀,而肺部,心臟的劑量更少,減低後遺症。


除乳癌外,螺旋刀亦適合肺癌、肺膜腫瘤、前列腺癌、鼻咽癌、食道癌等。對於複雜外形腫瘤,多病灶轉移,腦及脊髓神經系統電療,或腫瘤復發需要作二次電療,尤為適合。


數碼導航刀,也有稱電腦刀, 其實是一種無框架式機械人電療系統。它利用高速電腦控制目標定位系統,以三維(3D)立體方式導航,偵測及追蹤體內腫瘤的位置。當系統鎖定腫瘤所在後,便會將輻射從多角度射向腫瘤,不會因病人身體移動而偏離目標,從而大大減低對正常組織的破壞。數碼導航刀可從數以千計的角度選擇發放出X光射線,集中射向腫瘤,將之摧毀。由於數碼導航刀的準確度極高,誤差少於1毫米,可安全地將大劑量輻射投射到患處,其殺傷力如同一張鋒利的手術刀,一些過往難以透過傳統外科手術或其他放射治療處理的複雜個案,現在都可考慮以此嶄新技術治理。
數碼導航刀的其中兩項重要配件,是安裝於天花的「定位X光機」及「呼吸同步系統」。「定位X光機」是在治療現場,協助即時追蹤及鎖定目標腫瘤位置,令治療準確度極高;亦正因如此,治療腦部腫瘤時,不需如其他放射手術平台般,以頭釘固定病人頭顱,大大減低了對患者的傷害。部分腫瘤,如肺癌、肝癌等,會隨人體呼吸而移動,傳統的治療,須要增大電療範圍,對正常組織造成不必要的傷害。而「呼吸同步系統」能偵測並鎖定隨着呼吸移動的腫瘤,機械臂會即時因應改變,帶動直線加速器移向指定座標,向腫瘤投射,達成實時的呼吸追蹤放射治療。
